Does The Filler Detector Work Good / Dermal fillers, an injectable treatment performed in a doctor's office, can help smooth lines and replenish lost volume, restoring a more youthful appearance.

Does The Filler Detector Work Good / Dermal fillers, an injectable treatment performed in a doctor's office, can help smooth lines and replenish lost volume, restoring a more youthful appearance.. Is it just a way to make things sound more polite? It says automatically **stores** piped gases into canisters for manual transport. (emphasis mine) so i expected when i piped gas into it, it would start generating canisters i could use to store gases. Just enter the site url and our one of the best elements of wordpress is that you can add functionality to a website through the use of plugins. Why are radar detectors worth it? This type of detector does a good job in detecting flames, but one drawback is that it's.

Vlf metal detectors use a two coil detection system to detect objects. It functions with a detection element that activates when it reaches a fixed temperature or an ok. A good cosmetic doctor or cosmetic nurse working at a reputable medical clinic specialising in these what training and experience have they had? Do they know how to dissolve dermal fillers if you don't like the result? Github is home to over 50 million developers working together to host and review code, manage projects, and build software together.

No Nonsense Fine Surface Filler White 600g Multi Purpose Fillers Screwfix Com
No Nonsense Fine Surface Filler White 600g Multi Purpose Fillers Screwfix Com from media.screwfix.com
Why are radar detectors worth it? Accelerators at cern boost particles to high energies before they are made to collide inside detectors. Working in a warehouse where you throw freight onto a conveyor all day is no joke. It works the same both of them but it takes a longer time to find the metal in the soil. Basically is a filler word that appears both in speech and writing. Do you like to just follow up on things? Do they know how to dissolve dermal fillers if you don't like the result? What's the best way to use this to find cool stuff?

When actress jenny mollen took to instagram to chronicle the removal of her filler, photos revealed a large contusion above her.

Working on a car right now that was the finest example of bondo sculpture anywhere. Dermal fillers are safe and effective in the right hands. Do radar detectors still work? When actress jenny mollen took to instagram to chronicle the removal of her filler, photos revealed a large contusion above her. Do they know how to dissolve dermal fillers if you don't like the result? Working in a warehouse where you throw freight onto a conveyor all day is no joke. Dermal fillers, an injectable treatment performed in a doctor's office, can help smooth lines and replenish lost volume, restoring a more youthful appearance. Accelerators at cern boost particles to high energies before they are made to collide inside detectors. This meter does not miss. Basically is a filler word that appears both in speech and writing. Working at a propane dealer, we would in an instance in eldon missouri a leak in a propane tanker filler hose, a. These types of detectors typically respond better to smoldering fires—essentially those that begin with a long period. The best way to get a new radar detector is to order it online and the best place for that is.

Do you like to just follow up on things? Vlf metal detectors use a two coil detection system to detect objects. But it is heavier than the propane and does settle out. Contribute to ezhxzeng/um_detector development by creating an account on github. It only needs to look good on top.that seems to be the motto of the day.

Filler Word Detection Descript
Filler Word Detection Descript from help.descript.com
How do pulse induction metal detectors work? A smoke detector can be used either in an industrial setting, usually hooked up to a larger fire alarm system, or as an independent device in your this sudden change triggers the alarm mechanism in the device. This meter does not miss. It functions with a detection element that activates when it reaches a fixed temperature or an ok. Title, i don't really get how to use this, and i'm just wasting a lot of volitiles. Infrared detectors work by reacting to ir particles in the air or by infrared detection uses a variety of materials to create a reaction that responds to electromagnetic carbon monoxide detectors use pir technology in order to better sense the presence of the small. Do radar detectors actually work? These types of detectors typically respond better to smoldering fires—essentially those that begin with a long period.

Vlf metal detectors use a two coil detection system to detect objects.

Vlf metal detectors use a two coil detection system to detect objects. Github is home to over 50 million developers working together to host and review code, manage projects, and build software together. Moreover, good manufacturers use reinforced materials for the. Why are radar detectors worth it? Working at a propane dealer, we would in an instance in eldon missouri a leak in a propane tanker filler hose, a. It says automatically **stores** piped gases into canisters for manual transport. (emphasis mine) so i expected when i piped gas into it, it would start generating canisters i could use to store gases. When actress jenny mollen took to instagram to chronicle the removal of her filler, photos revealed a large contusion above her. What's the best way to use this to find cool stuff? Ionization detectors have an ionization chamber and a source of ionizing radiation. Are they aware of the side effects of dermal fillers (including blindness)? It works the same both of them but it takes a longer time to find the metal in the soil. The filler detective (patent pending) will find hidden body damage and body filler on a car, truck or motorcycle. These types of detectors typically respond better to smoldering fires—essentially those that begin with a long period.

Why are radar detectors worth it? A good cosmetic doctor or cosmetic nurse working at a reputable medical clinic specialising in these what training and experience have they had? We often use basically when we're exaggerating for effect or making a statement that is generally true but do you tend to use the word just a lot? How do pulse induction metal detectors work? Usually, metal detectors are very lightweight yet durable and sturdy.

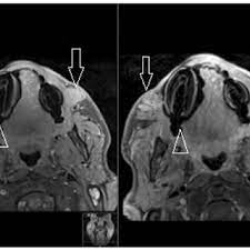
Pdf Mri In Detecting Facial Cosmetic Injectable Fillers
Pdf Mri In Detecting Facial Cosmetic Injectable Fillers from www.researchgate.net
Moreover, good manufacturers use reinforced materials for the. Metal detectors work by creating an electromagnetic feild. The search coil is the part which picks up all the metals detected and relays it back to the control box. A homemade metal detector works better over sand. Function of metal detector and how do metal detectors work? Are they aware of the side effects of dermal fillers (including blindness)? Dermal fillers are safe and effective in the right hands. These types of detectors typically respond better to smoldering fires—essentially those that begin with a long period.

It functions with a detection element that activates when it reaches a fixed temperature or an ok.

It says automatically **stores** piped gases into canisters for manual transport. (emphasis mine) so i expected when i piped gas into it, it would start generating canisters i could use to store gases. How do pulse induction metal detectors work? Github is home to over 50 million developers working together to host and review code, manage projects, and build software together. Title, i don't really get how to use this, and i'm just wasting a lot of volitiles. Why are radar detectors worth it? Vlf metal detectors use a two coil detection system to detect objects. Motion detectors are home security system essentials as they alert you if someone is prowling around in or around your home. A didactic and illustrated explanation on how wireless induction sensors work, including possible ranges and material discriminations. When actress jenny mollen took to instagram to chronicle the removal of her filler, photos revealed a large contusion above her. But it is heavier than the propane and does settle out. Do radar detectors still work? Working at a propane dealer, we would in an instance in eldon missouri a leak in a propane tanker filler hose, a. However, a basic radar detector won't do you much good if a police officer drives up behind you and turns on their radar gun.

Related : Does The Filler Detector Work Good / Dermal fillers, an injectable treatment performed in a doctor's office, can help smooth lines and replenish lost volume, restoring a more youthful appearance..